特别多人都有“地包天”的困扰,却不清楚自己是轻度地包天还是重度地包天。其实,了解这一点特别重要,它能帮助我们找到适合自己的治疗方法,而不是盲目跟风别人的治疗方式。接下来,咱们就一起详细了解一下如何分辨轻度地包天和重度地包天,掌握这些方法,你就能轻松判断自己的情况啦!
一、轻度地包天的成因与表现
轻度地包天一般是由牙齿咬合不正引起的下颚突出,属于牙性问题。这种情况下,面部外观不会有特别大的变化,主要就是牙齿有点外突,和颌骨发育异常没啥关系。要是不是遗传因素导致的,那特别可能是在小时候换牙或者长牙的时候,有一些不良习惯造成的,像嚼手指、吐舌头、吸嘴唇这些。
下面给大家说几种判断是不是轻度地包天的情况:
下颚可自如收回正常咬合:你可以试着把下颚往后收一收,如果能特别轻松地让上下颚达到正常的咬合状态,那这就有可能是轻度地包天。就好比正常情况下,我们的上下牙齿是能良好地对齐咬合的,要是你的下颚能自如地回到这个正常位置,说明问题可能不大。
多颗牙齿可正常咬合:看看自己的门牙以及相邻的两颗牙,还有后槽牙,要是这6 - 8颗牙齿能正常咬合,那也符合轻度地包天的特征。正常的牙齿咬合是特别关键的,它能确保我们吃东西的时候咀嚼得更充分。当这些牙齿能正常咬合时,就表明牙齿的排列虽然有点小问题,但还不至于太重度。
咀嚼时上下牙正常咬合:在平时吃东西咀嚼食物的时候,注意观察上下牙的咬合情况。如果上下牙能够正常咬合,那就说明只是牙齿本身的排列导致了地包天的表象,而不是颌骨的问题。比如我们嚼一块苹果,牙齿能正常地把苹果咬碎、嚼烂,就说明牙齿的咬合功能基本是正常的。
对于轻度地包天,因为是牙性问题,所以治疗起来相对简单,一般只需要矫正牙齿就可以了。现在牙齿矫正的方法有特别多,像传统的金属牙套、美观一些的陶瓷牙套,还有隐形牙套等等,都能帮助改善牙齿的排列,让牙齿修复正常的咬合。
二、重度地包天的成因与判断方法
重度地包天主要是由于骨性原因导致的下颚突出。要正确判断自己是不是骨性地包天,更好是去医院拍片检查,但其实我们也可以通过一些简单的方法先自己初步判断一下。
脸部呈月牙型凹陷:仔细看看自己的脸,如果整个脸已经凹陷进去,呈现出月牙型的形状,那基本上有90%的可能性是上颌发育不足导致的地包天。正常的脸部轮廓应该是比较流畅的,而当出现这种月牙型凹陷时,就说明颌骨的发育出现了问题,特别可能就是重度地包天。
用力后缩下巴仍无法完全吻合:你可以用力把下巴往后缩,看看上下牙齿能不能完全吻合。要是即使你用了较大的力气,上下咬合还是不能达到完全吻合的状态,那基本就可以判定是骨性问题,也就是重度地包天。这是因为骨性地包天是颌骨的位置发生了改变,单纯靠肌肉的力量特别难让牙齿修复到正常的咬合位置。
牙齿出现代偿或功能变化且无法改善:观察自己的牙齿,如果牙齿已经出现了一些代偿或者功能性的变化,而且通过一些功能性的矫正方法也没办法改善,那也特别可能是重度地包天。比如说,牙齿为了适应不正常的咬合关系,可能会出现倾斜、移位等情况,而且用一些简单的矫正手段,像戴矫正器,牙齿还是不能修复正常,这就说明问题比较重度了。
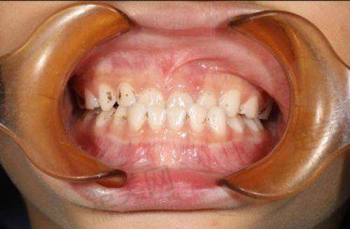
重度地包天的牙齿还会存在下牙对上牙深覆盖的情况,也就是说下牙大部分或者几乎把上牙包裹住了。这种情况不仅会导致咀嚼障碍,让我们吃东西变得困难,而且对面部外观也会造成特别明显的畸形。从面部外观上看,重度地包天特别直观的表现就是反颌,就是下牙跑到上牙前面去了。
三、重度地包天的影响
重度地包天对我们的影响可不小,主要体现在社交和身体健康两个方面。
在社交方面,患有地包天的人常常会受到别人异样的眼光,甚至会受到歧视。这会让他们变得极度不自信,在生活中的人际交往中产生较大的障碍。比如说,在和别人交流的时候,可能会因为自己的牙齿问题而不敢开口大笑,不敢和别人进行眼神交流,久而久之,就会影响到自己的社交圈子和心理健康。
在身体健康方面,重度地包天会影响我们咀嚼食物的成效。因为牙齿不能正常咬合,食物就不能被充分咀嚼,这样就会增加肠胃的负担,容易导致消化疾病。而且,牙齿不正常的咬合还会增大牙髓炎和龋齿发生的概率。牙齿之间的不正常摩擦和挤压,会让牙齿更容易受到细菌的侵害,从而引发各种口腔疾病。
四、假性地包天的情况
这里再给大家提一个小概念,就是假性地包天。假性地包天一般发生在婴儿时期,不用进行任何治疗。这是因为宝宝习惯把下牙往前伸着咬合,所以看起来好像是下颌突出。不过,随着宝宝牙齿完全长出来并且替换完毕之后,这种情况会慢慢改善。但是在这个过程中,家长要注意控制孩子的一些不良习惯,比如不要让孩子长时间含着奶嘴、不要让孩子养成咬手指的习惯等等,这样可以防止假性地包天发展成真性地包天。
总之,掌握了上面这些分辨轻度地包天和重度地包天的方法,你就能对自己的情况有一个初步的判断。如果你怀疑自己有地包天的问题,更好还是去正规的口腔医院,让专精的医生进行详细的检查和诊断,然后制定出更适合你的治疗方案。希望大家都能拥有一口健康、整齐的牙齿,拥有自信美丽的笑容!现在,你是不是已经能轻松分辨自己是轻度地包天还是重度地包天了呢?赶紧用这些方法试试吧!

相关文章
-
随州拜博口腔医院位置详解:轻松找到南昌、宜春及随州拜博的交通路线与出行指南 2025-10-01 16:20:01
-
上海中喜口腔医院口碑如何?了解2025年分院地址、电话及种植牙收费情况 2025-10-01 15:52:02
-
西安种牙到哪个医院效果比较好一点?中诺、团圆、诺贝尔等前十口腔医院值得关注! 2025-10-01 15:49:01
-
深圳善贝口腔离香港海关距离近,地铁可达超便利,港人看牙选这里超合适! 2025-10-01 15:24:01
-
贵阳柏德口腔医院位置详解及交通指南,了解种牙和牙齿矫正收费标准 2025-10-01 15:17:02
-
深圳佳美口腔医院地址在哪里?福田、宝安等五区门店地址及医院优势全揭秘! 2025-10-01 15:11:01
-
深圳爱康健植牙好不好?从技术、服务、收费多维度看,它是种植牙的优质之选! 2025-10-01 14:46:02
-
2025年长治德民信口腔门诊部真实口碑分析,了解长治看牙医院排名与收费情况 2025-10-01 14:42:02
-
丰泽柏德口腔医院在泉州的口碑如何?真实评价与消费者反馈一览,2025年最新信息! 2025-10-01 14:14:02
-
上海雅杰口腔门诊怎么样?正规资质、先进设备、贴心服务,让看牙不再是难题! 2025-10-01 14:10:02